Menu
Grand River Dental

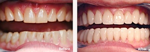
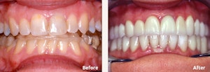
Modern dental technology now allows us to provide comfortable, effective, and long-term solutions to replace all of your teeth with dental implants. At Grand River Dental, we offer a range of modern, state-of-the-art solutions that can restore function, comfort, and a joyful, natural smile.

Dr. Leo Malin: Top implant dentist

Dr. Malin has nearly three decades of experience performing dental implant surgery and is a professional in all aspects of implant dentistry. He is well known for his contributions to dental implant technology, with developments in dental implant procedures that led to four U.S. patents. He is a sought-after lecturer on implant-related topics. He built Grand River Dental from the ground up to provide the most advanced dental technology and comprehensive, start-to-finish care for patients who suffer from significant dental challenges.

We employ advanced, minimally-invasive techniques that do not require sedation and allow you, the patient, to remain entirely in charge and aware. The safe, caring environment and exquisite results we achieve each day help our patients feel confident and attractive, and delighted to be able to eat what they want and smile with confidence!

Grand River Dental

Our dental implant options for full-mouth reconstruction

When you arrive for your free initial consultation at Grand River Dental, we will perform an initial evaluation and exam to determine your best options for full-mouth reconstruction. Based on your unique condition and circumstances, we may recommend one or more of the following treatment options:

Individual crowns

You may be a candidate for implants topped by dental crowns to replace missing teeth. Crowns with implants function just like real teeth, and they will be customized to align perfectly with your natural bite. Dr. Leo Malin and Dr. Rachel Malin, our father-daughter team, are dedicated to ensuring every patient is comfortable and stress-free throughout the process.

A series of implant-supported bridges

Dr. Malin can place between six and eight implants on your dental arch to support a series of dental bridges that replace all your teeth. The bridges will blend smoothly, look and feel like natural teeth, and fit comfortably and produce optimum bite alignment. Implant-supported bridges provide almost the same chewing power as natural teeth.

Full smile restoration with implants

Dr. Malin can place as few as four specially positioned implants on your dental arch to support a full set of new teeth that are securely fixed-in and provide 85 percent of full chewing power. These implants are angled and positioned to take advantage of the strongest available bone in your jaw, usually eliminating the need for any bone grafting.

Your new set of teeth will be made from highly durable zirconia ceramic and will be very close to your original teeth in size and shape, creating a natural feel and appearance. In most cases, Dr. Malin will perform any needed extractions, place all your implants, and provide an interim set of teeth that look attractive, awaiting the custom manufacture of your new set of teeth at our in-house lab.

Learn more about New Teeth in One Day.

Patient Receiving Dental Work

Implant-supported, removable snap-in dentures

Dr. Malin can place a series of implants across your dental arch to securely retain a custom-fabricated denture in a position that snaps into place through special attachments. Your implant-supported dentures will not slip, will not need messy adhesives, and will have no false palate in the upper denture that blocks your sense of taste. You will have 60 percent of the chewing power of natural teeth, and you can remove them when you wish for cleaning or other care. Learn more about implant-supported snap-in dentures.

Updating your dentures

Your current dentures can be updated with attachments that snap onto implants to secure them stably in your mouth. This procedure is known as denture stabilization. Denture stabilization keeps your existing dentures from shifting in your mouth and enhances your chewing power.

Contact us to schedule your free new patient exam and consultation

If you have broken-down teeth and need all your teeth replaced or are already wearing dentures and would like to achieve enhanced stability and comfort, contact us today to schedule a free initial patient consultation. We will examine you, take the needed standard X-rays, and take the time to give you your options and answer any questions you may have.

© Grand River Dental. All Rights Reserved. Web Design & Internet Marketing by Studio III

Privacy Policy

Contact Us