High-Tech Comprehensive Implant Dentistry
A dental implant is a titanium or zirconia post that is used to replace a tooth root. It can support a dental crown, bridge, or denture. Dental implants are the most durable, lifelike, and longest-lasting replacement option for missing teeth; making them the modern gold-standard for tooth replacement. If you are interested in expert dental implants in La Crosse, come see us for a consultation at Grand River Dental.
What Are Dental Implants?

Dr. Leo Malin is an accomplished clinician in dental implant treatment, with more than 23 years of experience in the field. His team provides high quality implant dentistry using cutting-edge technology and minimally invasive procedures.
While providing the highest quality care, Dr. Malin further provides his patients with affordable treatment, making dental implants accessible to as many people as possible.
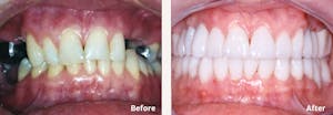
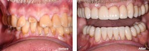
Real Patient
World-Renowned Implant Dentist
Dr. Malin is a world-renowned and highly respected leader in implant dentistry. He began placing implants in 1993, after extensive training. He then went on to spend many more years in postgraduate study, research, and application to become one of the nation’s foremost clinicians in all aspects of dental implants. Additionally, he has pioneered several advancements in dental implant technology and procedures, leading to four U.S. patents. If you are looking for the best dental implants in La Crosse, WI come see Dr. Leo Malin.
What’s more, Dr. Malin is a sought-after continued education instructor in dental implant procedures and has been recognized as a leader in this field. He frequently instructs clinicians in the science and techniques of dental implants, full-mouth reconstructions, and implant surgery and has done so in Russia, the Caribbean, Italy, and the United States.
Top-Quality Implants
Dr. Malin has established a dental implant design and manufacturing company that makes high-quality implant posts for his patients and by other dentists worldwide. The dental implant he has designed has a superior ability to maintain bone and gum tissue levels around the implant over time.
This is accomplished by the ingenuity of Dr. Malin’s design. In many implants, the parts that join the implant (post) and the abutment (attachment which holds the replacement tooth) are manufactured with some “play” or “wiggle room,” allowing bacteria to enter into this connective space. However, in Dr. Malin’s design, this connection is so closely fitted that it is nearly impossible for bacteria to intrude into the space.
This simple design element virtually eliminates bacterial infection getting into the implant, which on many occasions can cause bone and gum shrinkage and loss. These implants can also be placed farther below the gumline than many other brands, allowing dental restorations to appear identical to natural teeth emerging from the gums.
Free New Patient Consultation
Take advantage of our new patient special offer and come see Dr. Malin for a free dental implant consultation. Your consultation will include:
- Full oral examination
- Needed X-rays or 3D scans
- Gum tissue health assessment
- Discussing your goals & treatment options
- Answering all of your questions & concerns
- Estimated costs of treatment
What Are Our Dental Implant Services?
Our office provides patients with start-to-finished dental implant treatment options; all in-house. Connected to our practice, we have a full-fledged dental laboratory that creates all of our implant restorations, allowing for perfectly matching crowns and restorations.
Single Dental Implants
To replace a missing tooth, Dr. Malin can place a single implant and top it with a dental crown. A single dental implant consists of titanium posts inserted into the jaw to act as replacement tooth roots.
Multiple Dental Implants
You may have two or more teeth in a row that were lost or broken and need to be extracted or replaced. Dr. Leo Malin is very accomplished in advanced multiple dental implant treatments and technology.
Full-Mouth Reconstruction & Rehabilitation
With full-mouth reconstruction & rehabilitation, our dentist can provide you with implant-supported replacement teeth that are stable, comfortable, and provide enhanced chewing power.
Dental Implant-Supported Bridges
For several missing teeth in a row, Dr. Malin places multiple implants to support a dental bridge. It is an effective and attractive long-term solution to resolve the loss of multiple teeth.
Implant-Supported Dentures
Dr. Malin can retrofit your current denture with snap attachments so the denture will fit onto implants. Your denture will function similarly to the snap-in new denture above and enhance your chewing power.
Dentures
At Grand River Dental, we offer an array of dentures – including top-of-the-line implant-supported dentures that can provide an extraordinary level of stability, support, and comfort.
We will help you get the treatment you need
We keep our rates affordable to make dental implants in La Crosse accessible for as many people as possible. We also offer several payment options to make payment easy and convenient.
Our Dental Implant Procedures
Dental implant placement is a delicate and precise procedure involving detailed diagnostics, meticulous planning, and careful execution. Our doctors use the latest in advanced technology to make your dental implant treatment efficient, minimally invasive, and comfortable.

3D Imaging for Accurate Diagnostics
Our doctors use detailed diagnostic tools, including digital X-rays and 3D CT scans to provide the best care possible.
Our CT scanner will take a series of X-rays in a full circle around you and process them into crisp 3D, 360-degree views of your teeth, jawbone and surrounding anatomical structures.
These 3D images can be viewed from any angle and magnified as desired to provide extremely detailed and precise treatment planning.

Jaw and Bite Evaluation
If needed, our doctors can analyze your jaw function, bite alignment, and muscle tension using an advanced computerized diagnostic tool known as the K7 Evaluation System. This analysis accurately locates jaw or bite misalignments and related muscle pain.
The information obtained is used to ensure your treatment plan will correct any bite misalignment found, helping to eliminate muscle pain associated with bad alignment and make your overall treatment results stable and comfortable.

Computer-Guided Treatment Planning
After being taken, CT scan images are fed into a special dental implant planning software which is used to precisely map out the placement position, angle, and depth of insertion for each implant.
Our doctors simultaneously plan any bone grafting needed to provide the support necessary for your implants during this planning process.

Surgical Guides Guarantee Accuracy of Placement
Once treatment planning is complete, our in-house dental laboratory manufactures a state-of-the-art surgical guide to assist in placing your implants. A surgical guide fits over your dental arch and shows exactly where and at what angle your implants should be placed. The use of the guide makes implant placement accurate, efficient, and minimally invasive.
Bone Grafting to Rebuild Bone
Where there is inadequate bone to support an implant, Dr. Malin places graft material to stimulate the growth of new bone. He uses high-tech procedures and advanced materials for effective and minimally invasive bone regeneration.
Gentle Extractions
When extractions are needed, Dr. Malin gently removes teeth so as to preserve the maximum amount of surrounding gum tissue and bone. This minimizes swelling, speeds healing time and often reduces the amount of bone grafting needed.
Temporary Same-Day Restorations
After an implant is placed, it needs to heal before Dr. Malin can give you a dental restoration that will allow you to bite and chew normally. However, if your implant is in a visible area, Dr. Malin will fabricate and place a temporary cosmetic restoration that will preserve the appearance of your smile while putting no pressure on the implant as it heals. Placing a functional restoration too soon can put too much stress on the implant and compromise its stability.
Follow-up visits to monitor healing
Dr. Malin will see you in a follow-up visit two weeks after your surgery to monitor the healing of your implants. He will take digital X-rays to verify when they have fully healed, after which he will start making your final restorations.
Digital Impressions for Final Restorations
Our doctors use an advanced digital impression scanner to take 3D impressions of your teeth to fabricate your final restorations. The scan images are much more accurate than traditional, goopy impressions. Our doctors can use these scanned impressions to make final restorations that fit very precisely, look totally natural, and need little-to-no adjustment once placed.
Who is a Candidate for Dental Implants?
In the past, heavy bone loss in the jaw prevented many patients from being able to receive dental implants in Wisconsin. Due to recent advances in technology, most patients can now receive them. Even patients with health problems, that formerly made implant treatment unwise, are now candidates. This includes patients with cardiovascular disease, diabetes, or who smoke.
There are no age limits on who can receive dental implants. The only exception is young people whose jaws have not yet fully developed.
Our doctors can verify your eligibility during a comprehensive examination and evaluation.
Come and See Us for a Personal Consultation
Take advantage of our new patient special offer: come see our doctors for a free implant consultation to find out your dental implant treatment options.